Call me back

We’re Accepting New Patients!

Read More Next

Looking for a caring and professional dental practice? We’re excited to welcome new patients to our clinic! Whether you’re due for a check-up, need treatment, or are looking to enhance your smile, our friendly team is here to help.
Contact us today to book your first appointment—we look forward to meeting you!

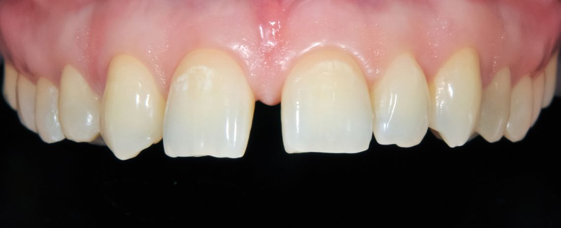
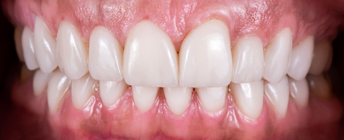
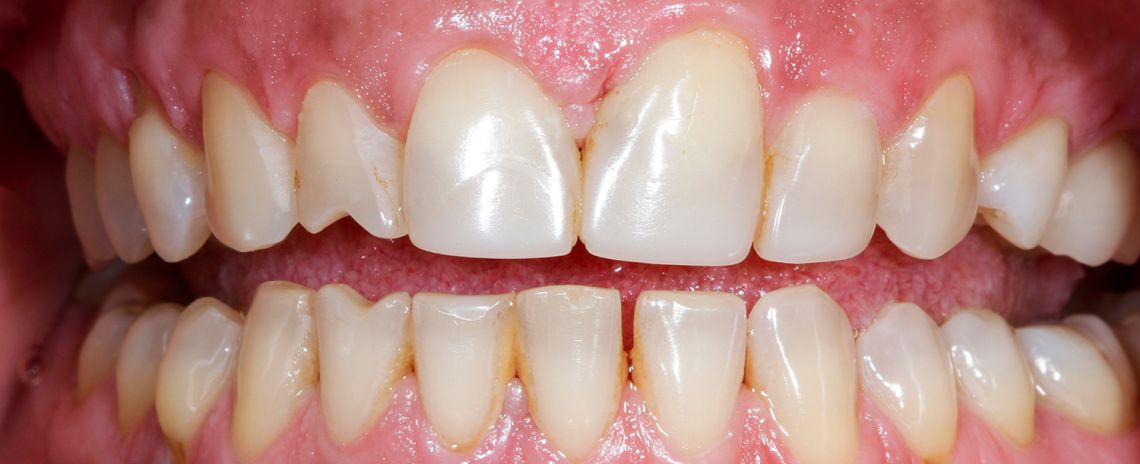
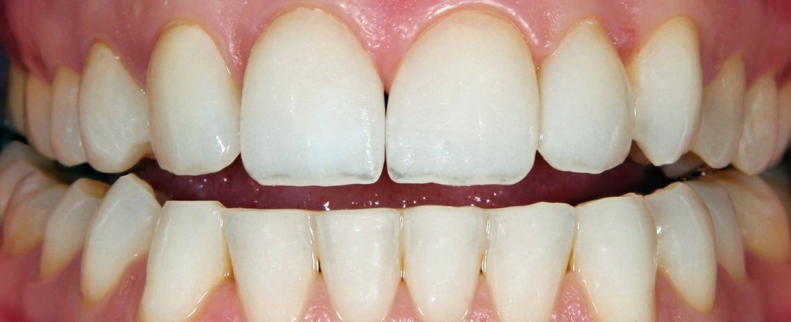
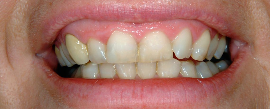
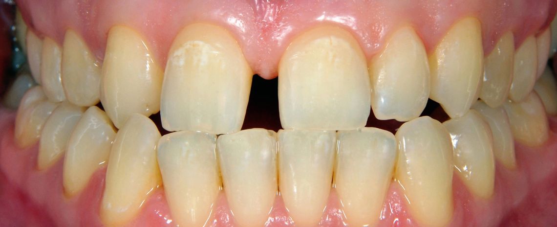
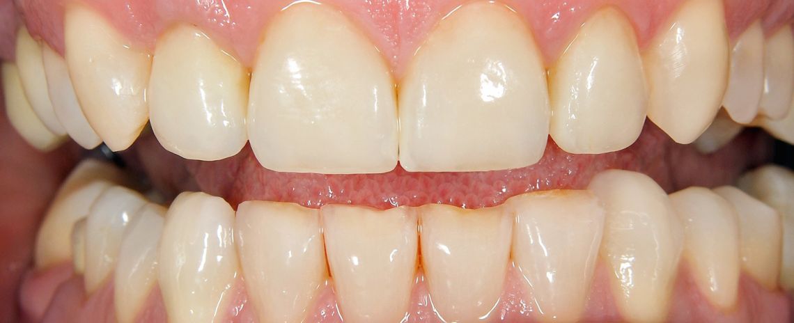
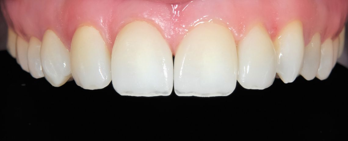
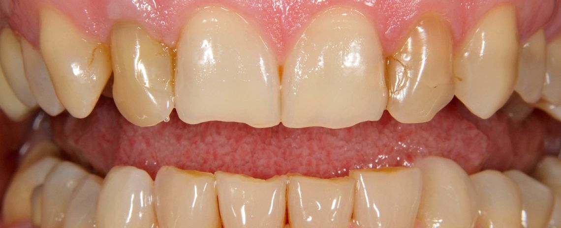
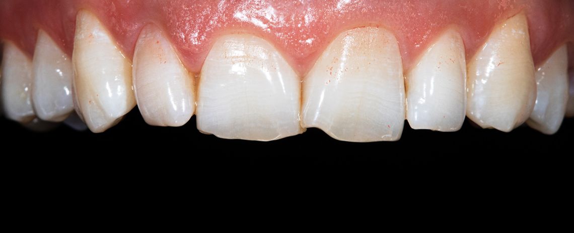
Teeth whitening

Whitening will not change the colour of your teeth completely but will lighten the shade, without removing any of the tooth surface. It is a safe procedure when carried out under professional supervision. Results last indefinitely. Just simply touch up your teeth with whitening gel every few years. Sometimes without a touch up, your teeth will start to re-stain by the same things that caused them to discolour in the first place.

It may be necessary to have other dental treatments prior to whitening, as whitening treatments can only be applied to healthy teeth and gums. A visit to the dental hygienist is also recommended prior to whitening treatment, to give the teeth a thorough cleaning and remove any surface stains. Teeth whitening is not effective on dental restorations such as amalgam fillings, metal or porcelain crowns, etc.

At Envisage Dental Basingstoke we use simple and safe home whitening systems. After checking your dental health, your dentist will take an impression to custom make dental trays that fit snuggly to your teeth. Once your trays are ready, your dentist will give you whitening gel and provide guidance on how to apply this at home, along with the required length of treatment in order to see your personal results. It may take between 3 days and a couple of weeks to see results, depending on your original discolouration and preferred shade.

Temporary sensitivity can affect some patients. If sensitivity is present, wear times should be shortened or made less frequent. Additionally, desensitizing toothpastes, gels, or mouthwashes can be used before or after the whitening process.

Call us on 01256 461888 to book a consultation and discuss your smile makeover options.

Meet the team

Emma Ryman

Dentist

GDC NO. 83372

Helen Fossey

Dentist

GDC NO. 76201

Kartik Abhimanyu Datla

Associate Dentist and Educational Supervisor

GDC NO. 278951

Anita Puthran

Dentist

GDC NO. 157603

Previous
Next
Patient Reviews

People are talking about us

The biggest complement we receive is when our patients refer their friends and family to Envisage Dental Basingstoke. In fact, we have built much of our practice on these valued, trusted recommendations over the years. Read our reviews to hear why our patients are recommending us…

Patient reviews

826 Reviews

5.0

23rd October 2025

Everyone at Envisage has made me feel comfortable and at ease throughout all my appointments. Everything has been clearly explained. The dentist and hygienist were especially good as I was very nervous about treatments.

18th October 2025

The professionalism of all staff is very clear from arrival to departure.

17th October 2025

Emma, the dentist explained everything and always puts you at ease.Amanda , the hygienist carries out the oral hygiene with care but at a very high standard,

15th October 2025

Friendly professional staff, non-judgmental.

11th October 2025

Everything explained carefullyGentle procedureWonderful dentist

SM

Stephen Murphy

Prompt professional service and informative, thankyou

9th October 2025

Excellent communications pre visit, everything went to schedule on arrival, greeted nicely by dentist and nurse. Everything explained clearly, reassured regarding some bleeding around a gold crown, advised on care of issue. Friendly, smiling team reassured me. The reception staff are so much better now than when envisage took over from Mr Marshall. Lovely ladies.

9th October 2025

Over all great experience.One problem though is that expenses were not detailed before hand. I was charges an emergency few that I never agrees too.If I had none prior to treatment I wouldn't have agreed to the charge

9th October 2025

Polite reception staff, Dentist Dr. Kartik, explained everything to me. No treatment was necessary. I was treated with respect and listened to.

6th October 2025

Amanda is kind, professional and caring,and Carly and the reception team are great

3rd October 2025

Patient care given by Amanda is always excellent.

MG

Matt Glenn

My first appointment at Envisage but they were really impressive. Friendly manner and allowed me to focus on the immediate issues with my teeth rather than pushing me to get all the treatments at once. Professionally laid out plan and cost breakdown so I knew how much was needed and when I could book appointments in so highly recommend

27th September 2025

Amanda B is a legend, she is always consistent and caring and she’s the best out there

25th September 2025

Amanda Byrne is excellent. She is professional and friendly and she explains all the options clearly. She is punctual and she takes time to explain how I can maintain my gum health very well. She is amazing.

VM

Victoria Myers

Friendly staff.

KR

Ken Ritchie

Very happy with both routine check up and hygienist appointments. Always receive clear information.

22nd September 2025

Dentist , Dental Nurse and Hygienist were all highly professional and very friendly.Additionally they were especially supportive as I had an unnerving experience on my way to the surgery which caused me to be anxious on arrival. Kartik took immediate calm action to help allay my concerns for which I was very appreciative. Thank you.

DC

Dan Clark

I've always received a highly professional service from Envisage. Starts with a helpful and welcoming reception team, set in a calm and professional environment. My dentist takes a genuine interest in my health. She offers clear treatment plans and recommendations without judgement. Follow-ups are well explained with transparent costs. Overall, outstanding service, highly recommended!

20th September 2025

I would recommend Amanda the hygeinist to anyone. She is the best person I have ever seen. Incredibly kind and patient with my autistic daughter. 100% satisfied.

20th September 2025

Dr Ryman is always really welcoming and happy Talks through any problems with a clear recommended planVery calm environment Reception team really helpful and professional

Prev Previous
Next Next